SERVICES

Our practice provides a variety of periodontal services to help you achieve your optimal oral health. Please find a full list of services here

Scaling & Root Planing

Scaling and root planing is non-surgical treatment for gum disease. Healthy gums fit tightly around teeth. Periodontal disease occurs when plaque, a sticky film of bacteria, forms around teeth and causes the gums to pull away from the teeth. These empty pockets between the tooth and the gums trap plaque that can’t be removed with a toothbrush. This trapped plaque can wreak havoc on the body. Plaque buildup could lead to bacterial spread throughout the body causing infection, bone and tooth loss. This is where scaling and root planing can help. Think of scaling like a deep clean. Dr. Uzel and his team will remove plaque that becomes trapped deep down in these pockets. Finally, the teeth are smoothed to help the gums heal and reattach to the teeth. This treatment can help prevent gum disease from progressing.

Pocket Elimination/reduction Surgery

Gum disease is caused when a bacterial film called plaque forms around the teeth and causes the gums to pull away and form gaps, or pockets, between the gums and teeth. Once these pockets form, any plaque that gets trapped in the gap can’t be removed by a toothbrush and can cause problems. Plaque can cause bacterial spread throughout the body and could potentially lead to jawbone loss, and tooth loss.

Pocket elimination/reduction surgery, sometimes also called “osseous surgery”, aims to set the stage for better periodontal health by reducing or eliminate pockets caused by gum disease. During the procedure the gums and jawbone will be reshaped to remove pockets and allow the gums to adhere tightly around the teeth again. For patients with gum disease, this surgery will help prevent further bone loss and bacteria from spreading throughout the body.

Guided Tissue Regeneration

When a patient suffers from gum disease, their gums don’t fit around their teeth as tightly as they should. Since the gums aren’t fitting tightly, this leaves a gap, or pocket, between the gum and tooth. These pockets trap and promote the growth of harmful bacteria that can’t be cleaned at home with a toothbrush.

Guided tissue regeneration is a way to help close these pockets between gum and tooth by promoting the growth of your natural bone and tissue. Dr. Uzel will place bone graft material and a membrane inside of the pocket between your gum and tooth. This membrane will prevent gum tissue ingrowth, and will promote bone to grow and eventually close the pocket thus preventing bacteria colonies from forming. Once the procedure is completed, the membrane dissolves naturally and all you’re left with is a healthy smile.

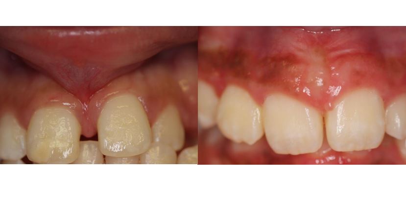
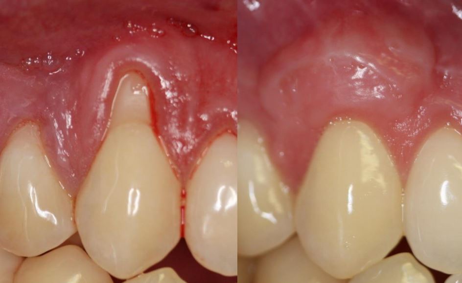
Mucogingival Surgery and Microsurgery

When you dream of a perfect smile, you may immediately think of shiny white teeth, but what about picture perfect gums? Mucoginigival surgery helps correct imperfect or abnormal gums, especially gum recessions. In some situations, mucogingival microsurgery may be an option. In microsurgery, Dr. Uzel uses high magnification loupes to make incredibly precise incisions in a tiny area. Microsurgery tends to be less invasive and promotes more rapid healing.

Frenulectomy

A frenulum is a piece of tissue that connects two organs together. In the periodontal world, this term typically refers to the piece of tissue that connects the tongue to the bottom of the mouth or the piece of tissue that connects the upper lip to the gums. In some patients, these connective tissues are shorter than average and can cause some problems like impaired speech and gum recession. A frenectomy is a simple procedure, done in our office that will release and reposition the frenulum. Most patients are healed within 3-5 days after this procedure.

Esthetic Crown Lengthening

Crown lengthening is done to reshape the gums. Sometimes, excess gum will cover more of the teeth than necessary. Crown lengthening is used to reveal more of the teeth hidden by gums. After the procedure, teeth will appear longer thus making it an ideal treatment for “a gummy smile”. This common procedure can be done right here in our office and usually takes less than an hour to complete.

Crown Lengthening

Crown lengthening is done to reshape the gums. Sometimes, excess gum will cover more of the teeth than necessary. Crown lengthening is used to reveal more of the teeth hidden by gums. After the procedure, teeth will appear longer thus making it an ideal treatment for “a gummy smile”. This common procedure can be done right here in our office and usually takes less than an hour to complete.

Tooth Extraction

Although you and Dr. Uzel will work together to keep your teeth and gums as healthy as possible, sometimes, a tooth just has to be removed. Pain, infection, bone loss and treatment facilitation are all potential reasons why a tooth may need to be extracted. Although it may sound scary, don’t worry! This is a very common procedure and the team at The Mercer Center for Implants and Periodontics at Princeton will do everything they can to make you comfortable.

Periodontal Maintenance

Regular periodontal maintenance treatments can help prevent gum disease. A periodontal maintenance treatment includes a thorough cleaning of teeth and gums and the removal of plaque buildup. It’s recommend that patients schedule a maintenance treatment four times a year to help effectively prevent gum disease.

Periodontal Medicine

During a periodontal examination, Dr. Uzel will also evaluate the entire mouth for possible oral pathologies. A biopsy will be performed if necessary and you will be referred to the right specialist for necessary treatment.

All Procedure pictures are for representative purposes only, actual procedure may vary according to treatment planning, patients’ needs.

BOOK APPOINTMENT

!
!
!
!
Cancel
Please fill out the form to request an appointment. Someone from our office will be in touch with you shortly to confirm. Thank you.

Your Care Team

BOOK APPOINTMENT

!
!
!
!
Cancel
Wyatt Esmond
General Dentist
OPENING HOURS
Monday
Tuesday
Wednesday
Thursday
Friday
Saturday
Sunday
7:00 am - 12:00 pm
9:00 am - 5:00 pm
1:00 pm - 5:00 pm
By appointment only
9:00 am - 2:00 pm
By appointment only
Closed
Lorem ipsum dolor sit amet, consectetur adipisicing elit, sed do eiusmod tempor incididunt ut labore et dolore magna aliqua.

BOOK APPOINTMENT

!
!
!
!
Cancel
Arnie Alban
Pedodontics
OPENING HOURS
Monday
Tuesday
Wednesday
Thursday
Friday
Saturday
Sunday
7:00 am - 12:00 pm
9:00 am - 5:00 pm
1:00 pm - 5:00 pm
By appointment only
9:00 am - 2:00 pm
By appointment only
Closed
Lorem ipsum dolor sit amet, consectetur adipisicing elit, sed do eiusmod tempor incididunt ut labore et dolore magna aliqua.

BOOK APPOINTMENT

!
!
!
!
Cancel
Dustin Callahan
Ortodontist
OPENING HOURS
Monday
Tuesday
Wednesday
Thursday
Friday
Saturday
Sunday
7:00 am - 12:00 pm
9:00 am - 5:00 pm
1:00 pm - 5:00 pm
By appointment only
9:00 am - 2:00 pm
By appointment only
Closed
Lorem ipsum dolor sit amet, consectetur adipisicing elit, sed do eiusmod tempor incididunt ut labore et dolore magna aliqua.

BOOK APPOINTMENT

!
!
!
!
Cancel
Kristin Weaver
Hygienist
OPENING HOURS
Monday
Tuesday
Wednesday
Thursday
Friday
Saturday
Sunday
7:00 am - 12:00 pm
9:00 am - 5:00 pm
1:00 pm - 5:00 pm
By appointment only
9:00 am - 2:00 pm
By appointment only
Closed
Lorem ipsum dolor sit amet, consectetur adipisicing elit, sed do eiusmod tempor incididunt ut labore et dolore magna aliqua.

BOOK APPOINTMENT

!
!
!
!
Cancel
Leslie Adams
Prosthodontics
OPENING HOURS
Monday
Tuesday
Wednesday
Thursday
Friday
Saturday
Sunday
8:00 am - 04:00 pm
9:00 am - 5:00 pm
1:00 pm - 6:00 pm
By appointment only
9:00 am - 2:00 pm
By appointment only
Closed
Lorem ipsum dolor sit amet, consectetur adipisicing elit, sed do eiusmod tempor incididunt ut labore et dolore magna aliqua.
Style switcher

Choose color style