MERCER CENTER IMPLANTS & PERIODONTICS

Located in the heart of Princeton, we are a full-service periodontal practice that specializes in dental implants. Our team is lead by Dr. Uzel, D.M.D., D.Sc, C.A.G.S., the most senior board-certified periodontist practicing in Princeton. Dr. Uzel has over 30 years of clinical experience and has served as a Diplomate of the American Board of Periodontology and implant surgery (the only ADA recognized board certification) since 2006. In addition to his commitment to periodontics and implant dentistry, Dr. Uzel has been committed to education. Along with a DMD, Dr. Uzel earned his Doctor of Science in bone biology and taught at Boston University and University of Pennsylvania. Dr. Uzel has made his mark on the scientific community, having published multiple papers and book chapters in journals and textbooks.

With our conservative approach to treatment and our truly outstanding team, your smile will receive the highest quality in periodontal care.

WE PROUDLY SERVE Townships around Princeton in New Jersey and Pennsylvania:

Mercer County, Montgomery County, Somerset County, Monmouth County, Middlesex County, Burlington County, Hunterdon County

Princeton, Montgomery Township, Cranbury Township, Village of Kingston, Township of Plainsboro, Rocky hill Borough, Franklin Township, South Brunswick, East Brunswick, Lawrenceville, Township of Lawrence, Hamilton, Pennington, West Windsor, East Windsor, Ewing, Trenton, Hightstown, Hopewell, Robbinsville, Yardville Heights, Allentown, Upper Freehold, Monroe, Jamesburg,Princeton Meadows, Princeton Junction, Montgomeryville, Blackwell Mills, Neshanic, Jamesburg, Manalapan.

HEALTHY GUMS, HEALTHY BODY

Did you know gum health could be a big indicator of overall health? Bacteria buildup in the mouth, called plaque, can not only lead to periodontal (gum) disease, but has also been linked to other conditions such as heart disease and is directly correlated with diabetes. Your best defense? Prevention! From at home care to in office treatments, Dr. Uzel and his team will show you how you can prevent bacterial spread and keep your smile in good health.

IMPLANT & PERIODONTAL PROCEDURES

Improving the health and wellbeing of our patients is at the core of everything we do. We offer a variety of periodontal procedures. Dr. Uzel believes in taking a conservative yet affective approach to treatment. Each patient is evaluated carefully and thoroughly. Surgery is recommended only when absolutely necessary.

Location

601 Ewing Street Suite B-15, Princeton, NJ 08540

Contact us

Office - (609) 212-2140
Fax - (609) 212-2143
Email - info@mercerimplantperio.com

ABOUT OUR PRACTICE

At Mercer Center for Implants & Periodontics at Princeton, we do everything we can to create a pleasant experience, starting with the environment. Upon entering the building, you will be greeted by the smell of fresh flowers, ferns and trees. Our high-tech practice coexists with lush greenery inside a converted greenhouse. Each procedure room has a large window and is bathed in natural light. Our periodontist, Dr. Uzel, is the most senior periodontist certified by the American Board of Periodontology and implant surgery currently practicing in Princeton. Our practice is committed to providing patients highest quality periodontal care in a relaxed and welcoming environment. .

Please find our practice’s listing on the American Board of Periodontology’s website here

MEET OUR TEAM

All team members of our practice are licensed professionals.

DR. M.ILHAN UZEL
Board Certified Periodontist and Implant Surgeon

Dr. M. ILHAN UZEL comes from a family of dentists; he followed his father’s footsteps and attended Boston University Goldman School of Dental Medicine and earned his DMD.

In his free time Dr. Uzel enjoys traveling internationally and culinary adventures, as well as European cinema. ln addition, he likes playing and watching soccer, rugby and basketball; he is a Boston Celtics and Galatasaray FC fan. He is fluent in Turkish and French. Dr. Uzel’s son, Doruk, also a Boston University alumnus, is an aspiring animation artist.

Dr. Uzel lives in Plainsboro, NJ with his wife Esra, their golden retriever puppy "Nugget" and “Cleo” their chocolate lab "Otto", who happen to be the mascots of Mercer Center for Implants and Periodontics at Princeton.

TARA
Registered Dental Hygienist

Tara has been a dental hygienist for over 20 years specializing in periodontics and implant care. She strives for excellence with continuing education and becoming well informed of all new dental technologies. Tara has the ability to make patients feel as ease with her kind smile and gentle touch. She has a husband, two beautiful daughters and a dog that she enjoys spending her time with. Any downtime is spent practicing yoga or listening to audio books.

TONI
Registered Dental Hygenist

Toni, one of our dental hygienists, has been practicing hygiene for 16 years and has been with us since 2021. She is CPR certified and is experienced in periodontics, pedodontics, general dentistry and dealing with special needs patients. To provide the best care possible for her patients, Toni attends continuing education courses and is a member of the Princeton Hygiene Study Club. Before joining the dental field, Toni was a medical assistant and pharmacy technician. In addition to her knowledge of dentistry she also has a vast knowledge of the medical field. Toni is known by her patients to be a very thorough, caring and gentle hygienist. Most of all she loves what she does! In her spare time, Toni Enjoys cooking, relaxing at home, and spending time with her family.

ANN
Senior Surgical Assistant, Implant Coordinator

Ann has been a dental assistant for almost 4 decades. She loves helping patients feel at ease and working with Dr. Uzel . Ann has a son who she is very proud of and a dog and cat she likes to spend time with. When Ann isn’t working she is busy planning her next vacation and adventure with her family and friends.

HEATHER
Surgical Assistant, Insurance Coordinator

Heather began her career in the dental field 16 years ago as a graduate of the Concorde Institute with EFDA dental certification. She continued her education also earning an associate degree in healthsciences. Originally from Fort Lauderdale, she joined our team 2 years ago upon moving to New Jersey as our treatment coordinator and insurance specialist. She has a kind nature and enjoys helping and interacting with patients to achieve their treatment goals. In her free time she enjoys visiting family, spending time at the park with her 2 dogs, and traveling.

MICHELE
Surgical Assistant

Michele has been a dental assistant for over 15 years. She has a calm and patient mannerism that allows patients to feel safe and taken care of. When Michele is not working, she is a busy mom raising and caring for her children along side her husband. They enjoy spending time together and heading down the shore whenever they get the chance.

SUCCESS STORIES

BEFORE - AFTER

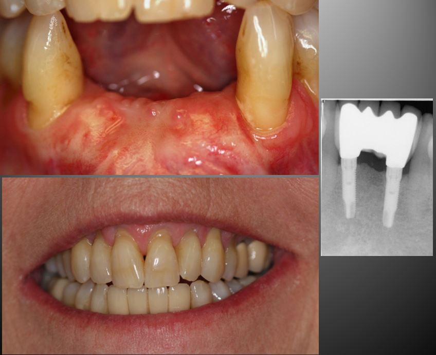
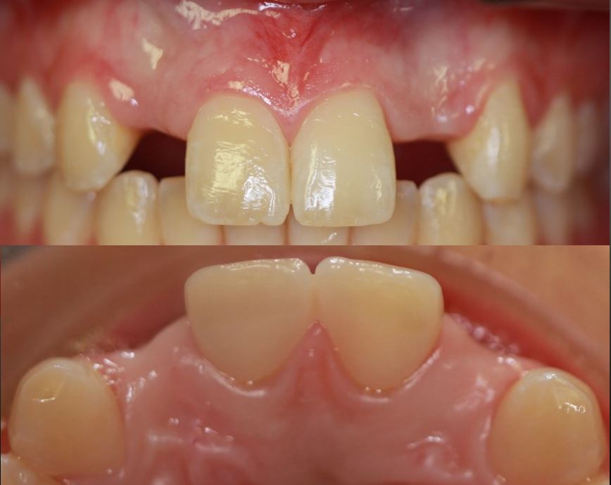
Dental Implant:
Replacement of two ill fitting bridges/congenitally missing lateral incisors with dental implants and crowns and improvement of gummy smile.
BEFORE
AFTER
Dental Implant:
Replacement of congenitally missing lateral incisors with dental implants and crowns and improvement of gummy smile.
BEFORE
AFTER
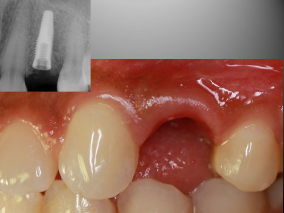
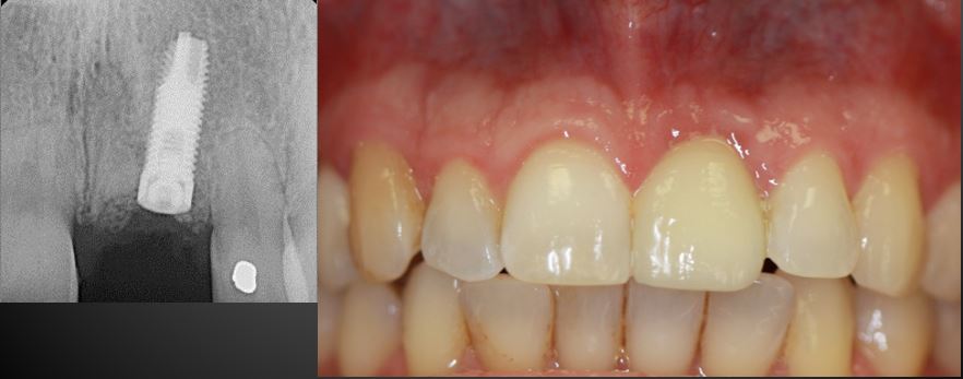
Dental Implant:
Esthetic replacement of the upper first premolar with a dental implant and a crown while preserving natural contours of gum tissue.
BEFORE
AFTER
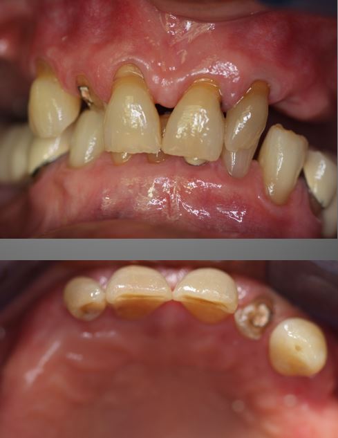
Full Arch Dental Implant and Bone Graft:
Replacement of ill fitting bridges supported by decayed teeth with dental implants and dental implant supported bridges and smile makeover.
BEFORE
AFTER
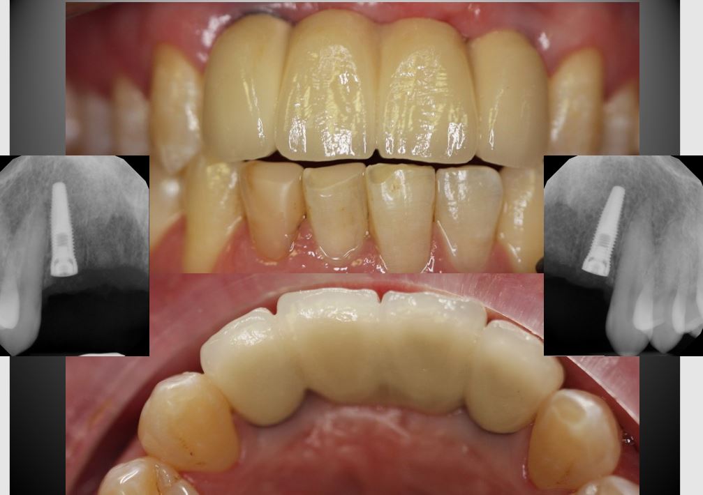
Dental Implant & Bone Graft:
Replacement of decayed teeth with dental implants and a dental implant supported bridge and smile makeover.
BEFORE
AFTER
Impacted Tooth Exposure
Surgical Exposure of two impacted canines and preservation of quality gum tissue during orthodontic treatment.
BEFORE
AFTER
Implant Bridge & Bone Graft:
Replacement gum diseased and infected teeth with dental implants and a dental implant supported bridge.
BEFORE
AFTER
Dental Implant:
Replacement gum diseased and loose teeth with dental implants and a dental implant supported bar denture and smile makeover.
BEFORE
AFTER
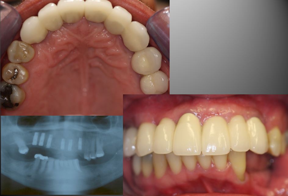
Full Mouth Dental Implant Treatment and Bone Graft:
Replacement of ill fitting bridges supported by decayed teeth with dental implants and dental implant supported dentures and smile makeover.
BEFORE
AFTER
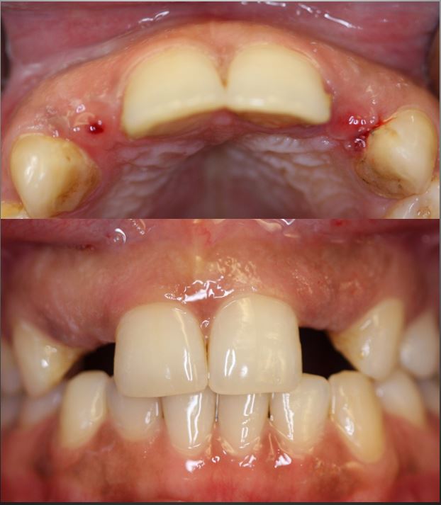
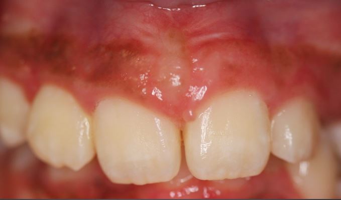
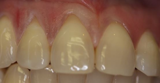
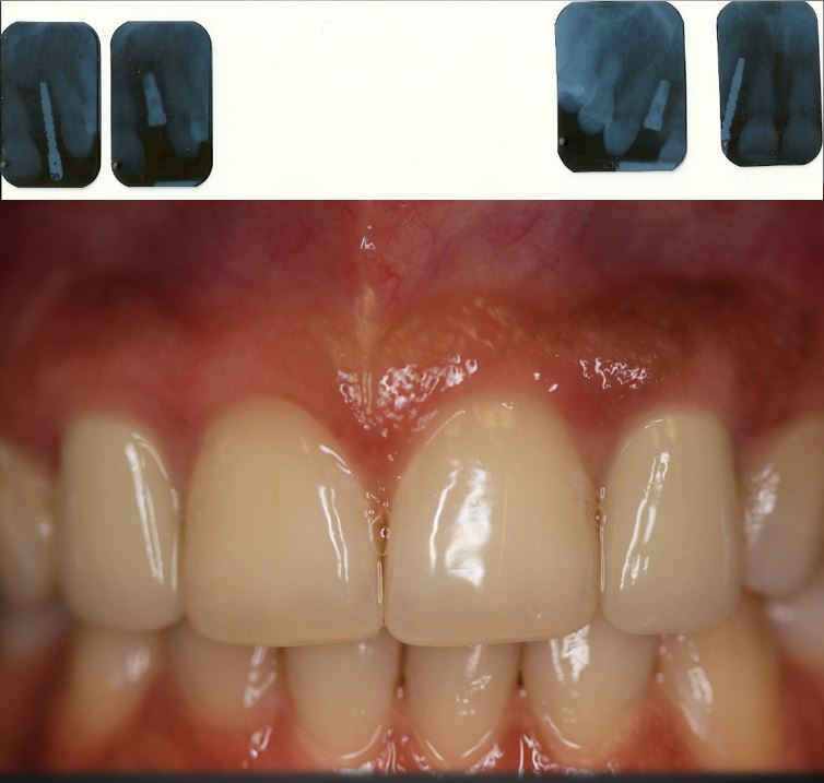
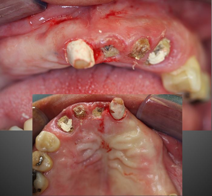
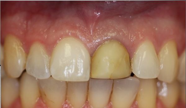
Immediate Implant:
Replacement of a decayed and discolored central incisor tooth with a dental implant and a dental implant supported crown and smile makeover.
BEFORE
AFTER
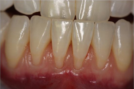
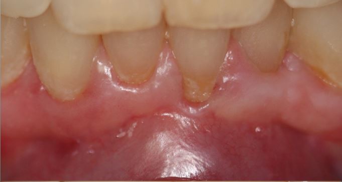
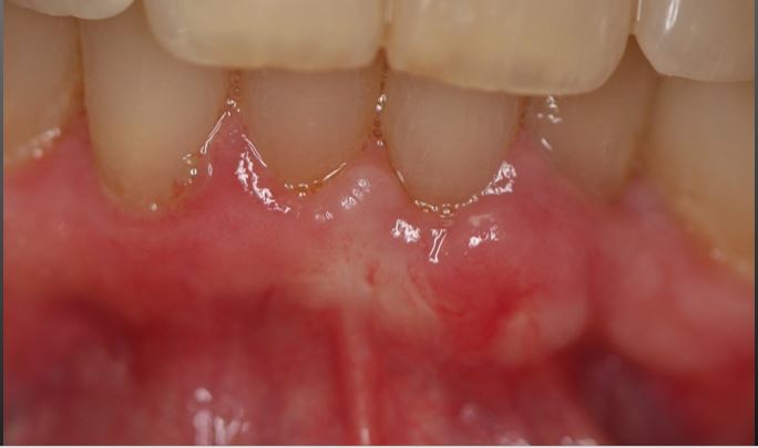
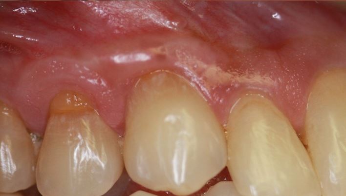
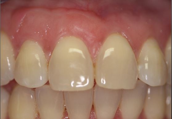
Gum Graft:
Treatment of gum recession and tooth sensitivity with a connective tissue graft (gum graft).
BEFORE
AFTER
Gum Graft:
Treatment of gum recession and lack of quality gum tissue that developed during orthodontic treatment with a connective tissue graft (gum graft).
BEFORE
AFTER
Gum Graft:
Treatment of gum recession that developed during orthodontic treatment with a connective tissue graft (gum graft) on both upper canines of the same patient .
BEFORE
AFTER
Gum Graft:
Treatment of gum recession and high frenum (lip attachment) that made biting and brushing difficult with a connective tissue graft (gum graft).
BEFORE
AFTER
Gum Graft:
Treatment of gum recession that developed during orthodontic treatment with a free gingival graft (gum graft).
BEFORE
AFTER
Gum Graft:
Treatment of gum recession and lack of quality gum tissue that developed during orthodontic treatment with a free gingival graft (gum graft).
BEFORE
AFTER
Gum Tissue Reduction:
Surgical treatment of gummy smile and removal of excessive gum tissue to facilitate orthodontic treatment and improve smile.
BEFORE
AFTER
Gum Graft:
Treatment of lack of gum tissue and high frenum (lip attachment) that made biting and brushing difficult with a free gingival graft (gum graft).
BEFORE
AFTER
Immediate Implant:
Replacement of decayed lower baby teeth that were present due to congenitally missing permanent teeth with two dental implants and two dental implant supported crowns.
BEFORE
AFTER
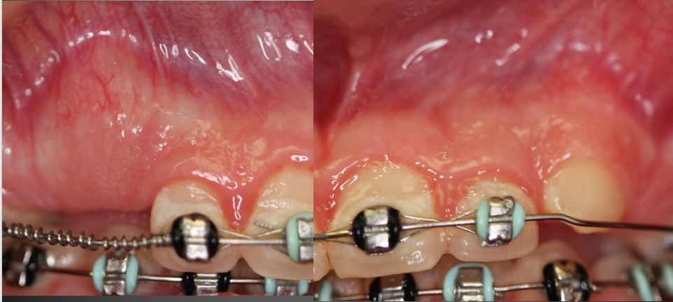
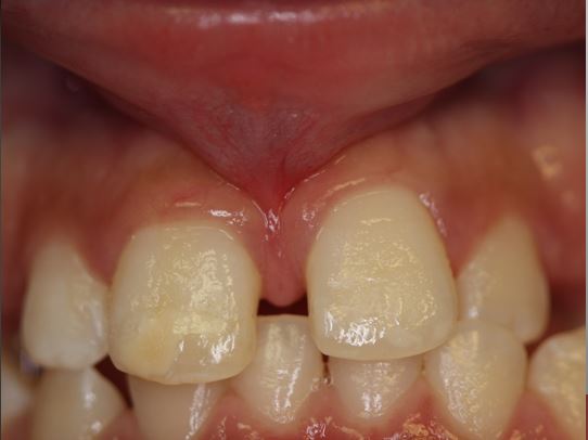
Frenectomy after Orthodontics:
Treatment of a very broad and high frenum (lip attachment) prior to orthodontic treatment that would otherwise limit tooth movement.
BEFORE
AFTER

TIPS FOR YOUR FIRST VISIT

Ready to take the first step toward better periodontal health? This handy checklist will help ensure your first visit goes smoothly.

Please bring

  • Your referral slip and x-rays from your referring dentist.
  • A list of medications you are currently taking
  • Your new patient paperwork (you can print your patient paperwork or fill it out online under the Patient Information tab)
  • If you have dental insurance, bring any forms or insurance cards with you to the appointment.

All patients under 18 must be accompanied by a parent or guardian at the consultation appointment.

We are excited to meet you and help you achieve your optimal oral health.

Board Certified Periodontist & Implant Surgeon

Tooth whitening (termed tooth bleaching when utilizing bleach), is either restoration of natural tooth shade or whitening beyond natural tooth shade, depending on the definition used.

Restoration of the underlying, natural tooth shade is possible by simply removing surface (extrinsic) stains (e.g. from tea, coffee, red wine and tobacco) and calculus (tartar). This is achieved by having the teeth cleaned by a dental professional (commonly termed "scale and polish".

Board Certified Periodontist

Tooth whitening (termed tooth bleaching when utilizing bleach), is either restoration of natural tooth shade or whitening beyond natural tooth shade, depending on the definition used.

Restoration of the underlying, natural tooth shade is possible by simply removing surface (extrinsic) stains (e.g. from tea, coffee, red wine and tobacco) and calculus (tartar). This is achieved by having the teeth cleaned by a dental professional (commonly termed "scale and polish".

Board Certified Periodontist

Tooth whitening (termed tooth bleaching when utilizing bleach), is either restoration of natural tooth shade or whitening beyond natural tooth shade, depending on the definition used.

Restoration of the underlying, natural tooth shade is possible by simply removing surface (extrinsic) stains (e.g. from tea, coffee, red wine and tobacco) and calculus (tartar). This is achieved by having the teeth cleaned by a dental professional (commonly termed "scale and polish".

Hygienist

Tooth whitening (termed tooth bleaching when utilizing bleach), is either restoration of natural tooth shade or whitening beyond natural tooth shade, depending on the definition used.

Restoration of the underlying, natural tooth shade is possible by simply removing surface (extrinsic) stains (e.g. from tea, coffee, red wine and tobacco) and calculus (tartar). This is achieved by having the teeth cleaned by a dental professional (commonly termed "scale and polish".

Prosthodontics

Tooth whitening (termed tooth bleaching when utilizing bleach), is either restoration of natural tooth shade or whitening beyond natural tooth shade, depending on the definition used.

Restoration of the underlying, natural tooth shade is possible by simply removing surface (extrinsic) stains (e.g. from tea, coffee, red wine and tobacco) and calculus (tartar). This is achieved by having the teeth cleaned by a dental professional (commonly termed "scale and polish".

Pediatric Dentistry

FAQ

At its simplest definition, dental implants are a permanent solution to replace missing teeth. These replacement teeth look, feel and act just like natural teeth. We are proud to specialize in this important procedure here at the Mercer Center for Implants & Periodontics.
Half of adult US population may have some form of gum (periodontal) disease. Periodontal disease occurs when plaque, a sticky film of bacteria, forms around teeth and causes the gums to pull away from the teeth. These empty pockets between the tooth and the gums trap plaque that can’t be removed with a toothbrush. Plaque buildup could lead to bacterial spread causing infection, bone and tooth loss. Scaling and root planing is non-surgical treatment for gum disease. Think of scaling like a deep clean. Dr. Uzel and his team will remove plaque that becomes trapped deep down in these pockets. Finally, the teeth are smoothed to help the gums heal and reattach to the teeth. This treatment can help prevent gum disease from progressing. If scaling and root planing procedure is ineffective to eliminate pockets because the periodontal disease is too advanced and damaged bone; a pocket elimination/reduction surgery, sometimes also called “osseous surgery”, aims to set the stage for better periodontal health by reducing or eliminate pockets caused by gum disease. During the procedure the gums and jawbone will be reshaped to remove pockets and allow the gums to adhere tightly around the teeth again. In addition, guided tissue regeneration is another or adjunctive way to help close these pockets between gum and tooth by promoting the growth of your natural bone and tissue. Dr. Uzel will place bone graft material and a membrane inside of the pocket between your gum and tooth. This membrane will prevent gum tissue ingrowth, and will promote bone to grow and eventually close the pocket thus preventing bacteria colonies from forming. Once the procedure is completed, the membrane dissolves naturally and all you’re left with is a healthy smile.
Regular periodontal maintenance treatments can help prevent gum disease. A periodontal maintenance treatment includes a thorough check of gum pockets, cleaning of teeth and gums and the removal of plaque buildup. We recommend scheduling a maintenance treatment four times a year to help effectively prevent the progression of gum disease.

BOOK APPOINTMENT

!
!
!
!
Cancel
Please fill out the form to request an appointment. Someone from our office will be in touch with you shortly to confirm. Thank you.

Your Care Team

BOOK APPOINTMENT

!
!
!
!
Cancel
Wyatt Esmond
General Dentist
OPENING HOURS
Monday
Tuesday
Wednesday
Thursday
Friday
Saturday
Sunday
7:00 am - 03:00 pm
9:00 am - 5:00 pm
1:00 pm - 6:00 pm
By appointment only
9:00 am - 2:00 pm
By appointment only
Closed
Lorem ipsum dolor sit amet, consectetur adipisicing elit, sed do eiusmod tempor incididunt ut labore et dolore magna aliqua.

BOOK APPOINTMENT

!
!
!
!
Cancel
Arnie Alban
Pedodontics
OPENING HOURS
Monday
Tuesday
Wednesday
Thursday
Friday
Saturday
Sunday
7:00 am - 3:00 pm
9:00 am - 5:00 pm
1:00 pm - 6:00 pm
By appointment only
9:00 am - 2:00 pm
By appointment only
Closed
Lorem ipsum dolor sit amet, consectetur adipisicing elit, sed do eiusmod tempor incididunt ut labore et dolore magna aliqua.

BOOK APPOINTMENT

!
!
!
!
Cancel
Dustin Callahan
Ortodontist
OPENING HOURS
Monday
Tuesday
Wednesday
Thursday
Friday
Saturday
Sunday
7:00 am - 3:00 pm
9:00 am - 5:00 pm
1:00 pm - 6:00 pm
By appointment only
9:00 am - 2:00 pm
By appointment only
Closed
Lorem ipsum dolor sit amet, consectetur adipisicing elit, sed do eiusmod tempor incididunt ut labore et dolore magna aliqua.

BOOK APPOINTMENT

!
!
!
!
Cancel
Kristin Weaver
Hygienist
OPENING HOURS
Monday
Tuesday
Wednesday
Thursday
Friday
Saturday
Sunday
7:00 am - 03:00 pm
9:00 am - 5:00 pm
1:00 pm - 6:00 pm
By appointment only
9:00 am - 2:00 pm
By appointment only
Closed
Lorem ipsum dolor sit amet, consectetur adipisicing elit, sed do eiusmod tempor incididunt ut labore et dolore magna aliqua.

BOOK APPOINTMENT

!
!
!
!
Cancel
Leslie Adams
Prosthodontics
OPENING HOURS
Monday
Tuesday
Wednesday
Thursday
Friday
Saturday
Sunday
8:00 am - 04:00 pm
9:00 am - 5:00 pm
1:00 pm - 6:00 pm
By appointment only
9:00 am - 2:00 pm
By appointment only
Closed
Lorem ipsum dolor sit amet, consectetur adipisicing elit, sed do eiusmod tempor incididunt ut labore et dolore magna aliqua.
Style switcher

Choose color style